Oznaka: bubreg
Majka dala bubreg sinu (17): Uspješno završena još jedna transplantacija, oporavak ide po planu
18.02.2024. | 17:54Dr Siniša Dučić, direktor Univerzitetske dječje klinike u Tiršovoj potvrdio je ove divne vijesti. Sedamnaestogodišnji dječak danas je dobio bubreg od svoje majke, čime je u Univerzitetskih dječjoj kli…
“Kao nožem da su me uboli”: Simanić se prisjetio svih strahova, krvarenja i udarca
13.02.2024. | 14:42Boriša Simanić se sjetio najtežeg momenta u karijeri, kada je u Manili na Svjetskom prvenstvu zbog jednog udarca tokom utakmice sa Južnim Sudanom ostao bez bubrega i bio životno ugrožen. Prošlo je pet…
Snovi se srušili u trenu, ušli u novu borbu: Milošu odstranjen bubreg koji mu je donirala djevojka
11.01.2024. | 12:02Miloš je uspio da prikupi neophodna sredstva za transplantaciju bubrega u inostranstvu koja je obavljena 2.novembra 2023. godine, ali nažalost usljed komplikacija koje su nastupile transplantirani bub…
U njenom srcu tinja vatra nesebičnosti: Tamara donirala kolegi dio jetre i spasila mu život
25.12.2023. | 16:08U vremenu kad se čini da je svijet podijeljen i surov, priča Tamare Morović (42) iz Priboja, koja je nesebično i bez dvoumljenja donirala dio jetre Dušku Kuškovskom, koji je bolovao od autoimune boles…
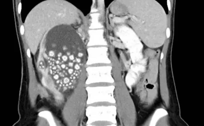
Djevojci uklonjeno 300 kamenčića iz bubrega FOTO
17.12.2023. | 18:58Jedna 20-godišnja djevojka sa Tajvana nedavno je podvrgnuta operaciji u kojoj su ljekari uklonili 300 kamenćića iz bubrega!.
Pozovite 1401 za Cvjetka: Donirao bubreg nepoznatoj ženi, sada on treba našu pomoć
23.11.2023. | 21:03Cvjetko Ćirić, iz Lopara, donirao je bubreg Zorici Dokić iz Bijeljine i tako joj spasio život, a ovaj humani čovjek sada treba našu pomoć. Aktiviran je humanitarni broj za pozive iz Republike Srpske –…
Muči vas kamen u bubregu? Moguće ga je izbaciti uz pomoć šest prirodnih lijekova
04.11.2023. | 22:53Uzroci pojave kamena u bubregu mogu da budu različiti i najčešće se formiraju usljed nedostatka tečnosti u tijelu, viška određenih minerala ili genetske predispozicije.
Šest godina živi život bez bubrega: Dijana iz Gradiške treba pomoć dobrih ljudi FOTO
01.11.2023. | 21:36Gradska organizacija Crvenog krsta Gradiška pokrenula je humanitarnu akciju prikupljanja novčanih sredstava za potrebe transplantacije bubrega njihove sugrađanke Dijane Ljepojević. “Dijana ima 3…
Druga transplantacija! Mladiću od svega 17 godina majka donirala bubreg
11.10.2023. | 12:24Mladiću (17) iz Srbije uspješno je o trošku Republičkog fonda za zdravstveno osiguranje (RFZO) transplantiran bubreg u bolnici u Londonu gdje se trenutno oporavlja od operacije. Ovo je druga transplan…
Prekinuto ispitivanje: Danci tvrde da Ozempic liječi i zatajenje bubrega
11.10.2023. | 08:17Danska farmaceutska kompanija Novo Nordisk saopštila je da će prekinuti ispitivanje Ozempica za liječenje zatajenja bubrega kod pacijenata s dijabetesom prije planiranog vremena jer je iz prvih analiz…
Na Mundobasketu ostao bez bubrega: Simanić otkrio kada bi mogao da se vrati na teren
05.10.2023. | 21:42Boriša Simanić je izazvao oduševljenje navijača Crvene zvezde kada se pre dpočetak meča sa Asvelom pojavio u Beogradskoj areni, a nešto kasnije je otkrio kada bi mogao da se vrati na parket. Navijači …
Oglasio se Boriša Simanić i sve obradovao porukom
23.09.2023. | 20:29Srpski košarkaš Boriša Simanić imao je tu nesreću da tokom Mundobasketa ostane bez bubrega, ali se uspješno oporavlja nakon operacije i moguće je da će se vratiti košarci kroz nekoliko mjeseci.
