Oznaka: rak dojke
Opaka bolest: Rak kod muškaraca najčešće na plućima, a kod žena na dojci
03.02.2024. | 10:55Muškarci u Republici Srpskoj najčešće obolijevaju od raka dušnika, bronhija i pluća, a žene od karcinoma dojke, rečeno je Srni u Institutu za javno zdravstvo Srpske, povodom Svjetskog dana borbe proti…
Važno otkriće! Šetnja smanjuje rizik od raka dojke
12.12.2023. | 19:44Duge šetnje mogu smanjiti rizik od razvijanja raka dojke za 10 posto, pokazala je studija Instituta za istraživanje raka u Londonu. Vježbe kao što su šetnja, vožnja biciklom te druge sportske aktivnos…
Pet simptoma raka dojke kod muškaraca
22.10.2023. | 07:54Prema statistikama, rizik da muškarac tokom života oboli od raka dojke je oko 1 na 1.000.
Najčešći simptomi koji mogu da ukažu na rak dojke
07.10.2023. | 09:17Benigne promjene dojke često su normalan dio života žene i uglavnom nisu uzrok brige. Često se javljaju ciste, fibroadenomi (benigni tumori), i masne izrasline.
Pregledajte se, važno je: Manji broj umrlih od karcinoma dojke
02.10.2023. | 12:04U Federaciji BiH registrovan je pad broja umrlih od raka dojke u periodu od 2020. do 2022. godine, saopšteno je iz federalnog Zavoda za javno zdravstvo, povodom obilježavanja Međunarodnog mjeseca bor…
Ljekari upozoravaju: Ovo su prvi simptomi koji mogu ukazivati na rak dojke
09.06.2023. | 22:47Rak dojke je maligno oboljenje koje nastaje kada normalne žlijezdane ćelije dojke promijene svojstva i počnu nekontrolisano da rastu, da se razmnožavaju i uništavaju okolno zdravo tkivo.
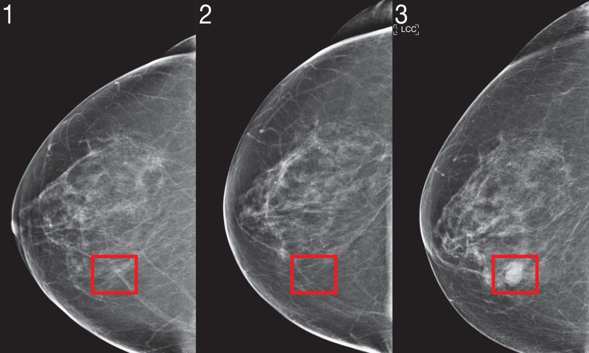
Nova umjetna inteligencija: Otkriva rak dojke godinama prije nego što se razvije
17.03.2023. | 18:28Institut za tehnologiju iz Massachusettsa (MIT) razvio je umjetnu inteligenciju (AI) koja može prepoznati potencijalni razvoj raka dojke godinama prije nego što ga je moguće otkriti mamografom. Kako t…
“Iskra” na Trgu Krajine: Banjaluka obilježila svjetski dan borbe protiv raka dojke
24.10.2022. | 13:15Savez žena oboljelih od raka dojke “Iskra” obilježio je Svjetski dan borbe protiv ove bolesti, 24. oktobar, podjelom brošura i prodajnom izložbom na Trgu Krajine u Banjaluci. Predsjednik S…
Dan borbe protiv raka dojke: U Srpskoj godišnje oboli blizu 600 osoba
23.10.2022. | 11:58U Republici Srpskoj godišnje bude evidentirano blizu 600 novooboljelih od raka dojke, podaci su Instituta za javno zdravstvo Srpske, koji vodi registar za rak od 2001. godine. Načelnik Klinike za onko…
Olakšica za Banjalučanke: Efikasnije pružanje usluga skrining mamografije za članice “Iskre”
28.07.2022. | 11:26Direktor banjalučkog Doma zdravlja Nevena Todorović i predsjednik Saveza žena oboljelih od raka dojke “Iskra” Suzana Kekić potpisale su danas Protokol o saradnji, kojim će biti obezbijeđen…
Snežana se borila sa opakom bolešću: Otkriven uzrok smrti poznate srpske karatistkinje
10.02.2022. | 16:07Snežana Pantić, supruga bivšeg golamana Partizana je preminula u 44. godini…
Apel za pomoć: Samohrana majka iz Prijedora vodi bitku sa teškom bolešću
03.01.2022. | 18:42Prijedorčani su na društvenim mrežama pokrenuli akciju pomoći za nezaposlenu samohranu majku koja ima rak dojke, Danku Marinković (39).
