Oznaka: snimak
Namjerno ili ne, nevjerovatno je! Način na koji je čovjek doveo svoj život u opasnost šokira VIDEO
23.10.2020. | 19:28Društvenim mrežama kruži snimak koji je mnoge ostavio bez teksta.
Fascinantno biće! Snimak žirafe kako jede oduševio svijet VIDEO
15.10.2020. | 13:19Žirafe su svakako fascinantna bića, barem ako uzmete u obzir da kao najviši sisavci na planeti mogu doseći visinu od čak šest metara.
“Jedan od najčudesnijih trenutaka u životu”: Maja Šuput podijelila snimak ultrazvuka VIDEO
14.10.2020. | 15:45Pjevačica Maja Šuput nedavno je objavila veliku vijest kako će prvi puta postati mama, a sad je s fanovima podijelila dirljiv snimak.
“Krv nije voda”: Trenutak Darka Lazića sa sinom raznježio sve FOTO
12.10.2020. | 12:26Marina Gagić, vjerenica Darka Lazića, sve je oduševila najnovijim snimkom pjevača i nasljednika Alekseja.
Zastrašujući video: Snimljeno kidnapovanje devetogodišnje djevojčice
08.10.2020. | 15:25Na zastrašujućem snimku objavljenom nedavno vidi se trenutak kada muškarac na Roud Ajlendu kidnapuje devetogodišnju djevojčicu nekoliko sekundi nakon što je izašla iz školskog autobusa.
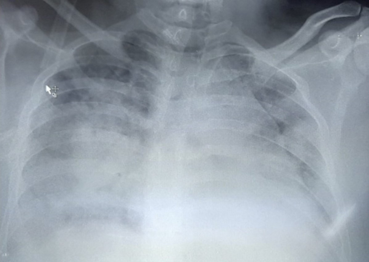
Kako zaraza utiče na čovjeka: Hirurg objavio snimak pluća pacijenta koji je umro od posljedica korone FOTO
07.10.2020. | 13:00Hirurg iz Kragujevca doktor Vladimir Đurić ponovo je na Tviteru objavio snimak pluća svog pacijenta koji je preminuo od posljedica teške upale pluća izazvane korona virusom.
Kakva čast! Kardi Bi podijelila Jelenin nastup, Karleuša se brže-bolje pohvalila FOTO
02.10.2020. | 14:49Pop zvijezda Jelena Karleuša ponovo se ovih dana dovodi u vezu sa planetarno popularnim zvijezdama.
Žestok sudar: Objavljen snimak teške saobraćajke u kojoj su stradale tri osobe VIDEO
10.09.2020. | 18:44U teškoj saobraćajnoj nesreći koja se u subotu dogodila na raskrsnici u Lončarima poginule su tri osobe.
Ne stišava se bura: Isplivao još jedan snimak koji dokazuje da Đoković nije kriv VIDEO
09.09.2020. | 13:56Nakon skandalozne odluke da se najbolji srpski teniser Novak Đoković diskvalifikuje sa US Opena, javnost je revoltirana!
Ljude prepao snimak škorpiona koji jede VIDEO
24.08.2020. | 23:08Priznaćete da škorpioni nikad ne izgledaju baš umiljato, ali, da li ga ikad vidjeli kako jede?
Ana Nikolić u ultra kratkoj haljini: Pjevačica počastila fanove atraktivnim snimkom
23.08.2020. | 09:31Pjevačica Ana Nikolić izbacila je snimak na kojem su njene gole noge bile u prvom planu.
Jedinstveno: Pogledajte kako “iznutra” izgleda paljenje gume VIDEO
21.08.2020. | 17:59Nakon što je prethodno snimio jedinstven video, montiravši GoPro kameru u unutrašnjost gume svog automobla, autor YouTube kanala Warped Perception sada je otišao jedan korak dalje.
