Oznaka: tinejdžer
Tinejdžer dobio posao obnove Petrinje bez javnog konkursa
05.03.2021. | 21:15Kido je u engleskom jeziku naziv za dijete. Ali u Petrinji je firma KI i DO, koju vodi tek punoljetni Kristian Prpić, upravo dobila posao od 130.000 evra.
S lisicama na rukama sa tek 16 godina: Uhapšeni tinejdžer osumnjičen za terorizam
05.02.2021. | 12:05Norveška služba bezbjednosti saopštila je danas da je jedan sirijski tinejdžer uhapšen u Oslu zbog sumnje da je planirao terorističko djelo.
Tuga! Nakon što je izboden nožem preminuo talentovani 16-godišnji fudbaler
27.01.2021. | 20:37Tinejdžer i fudbalski talenat Džoš Dan preminuo je od posljedica povrede nanesene nožem u utorak uveče u Dablinu u Irskoj, prenio je Irish Mirror.
Tinejdžer izboden po grudima: Zatražen pritvor za osumnjičenog za ubistvo
09.11.2020. | 13:05Kantonalnom sudu Tuzla predloženo je da odredi jednomjesečni pritvor za Adisa Mujkanovića (39) iz Tuzle, osumnjičenom da je sedamnaestogodišnjaku R.R. zadao dva udarca oštrim predmetom u grudni koš, o…
Nakon svađe, potegnuo nož! Tinejdžer (16) nožem izbo djevojku (23)
02.11.2020. | 18:41Šesnaestogodišnji Zrenjaninac S. A. uhapšen je juče zbog sumnje da je nožem napao sugrađanku V. T. (23) i nanio joj teške tjelesne povrede.
Horor se desio u štali! Tinejdžer zbog silovanja dječaka završio u popravnom domu
02.10.2020. | 12:08Tinejdžer (16) koji je napastvovao dječaka (7) u Nišu od 21. jula nalazi se u Vaspitno-popravnom domu u Kruševcu zbog seksualnog zlostavljanja koje se dogodilo u martu.
Strašno! Dječaka upucao tinejdžer na putu do škole, preplašeni učenici sve gledali
07.09.2020. | 16:43Jedan tinejdžer je uhapšen nakon što je 15-godišnjak pogođen metkom na putu do škole ispred preplašenih učenika danas u Ipsviču, javlja Dejli mejl.
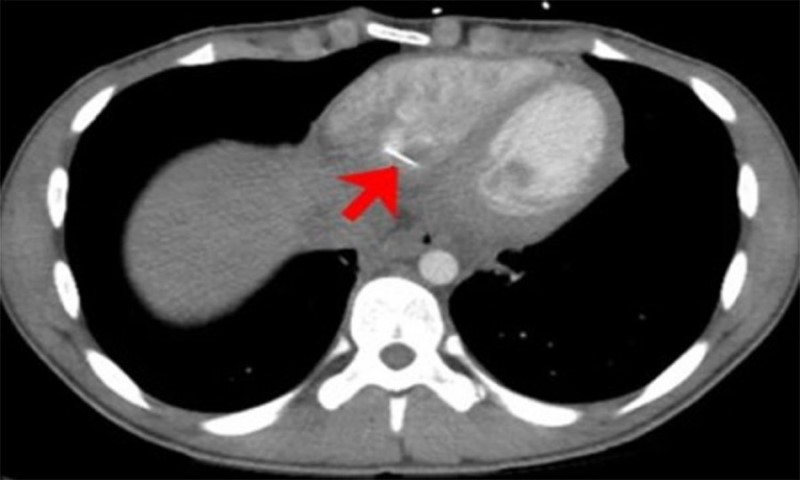
Čudno, nije ni primijetio! Tinejdžer progutao iglu, doktori je pronašli u srcu
31.08.2020. | 11:04Tinejdžer je progutao iglu za šivenje dok je ušivao svoju odjeću, a nekim čudom nije ni primijetio.
Obilne kiše zamutile jezero: Mladić (17) se utopio, tijelo još nije nađeno
17.08.2020. | 09:09Tinejdžer iz okoline Novog Pazara, star 17 godina, utopio se u nedjelju po podne u jezeru Gazivode.
Povrede su bile smrtonosne! Tinejdžera (17) napala ajkula, zatvorene sve plaže
11.07.2020. | 10:23Ajkula je usmrtila tinejdžera kod istočnih obala Australije, saopštila je danas policija.
FOTO – Hrabro, ali opasno: Tinejdžer prvi skočio sa Zelenog mosta
23.07.2019. | 21:03Hrabri tinejdžer iz Banjaluke, koji nema više od 15 godina, skočio je danas sa nekadašnjeg Zelenog, a trenutno još uvijek bezimenog mosta, u hladni Vrbas.
